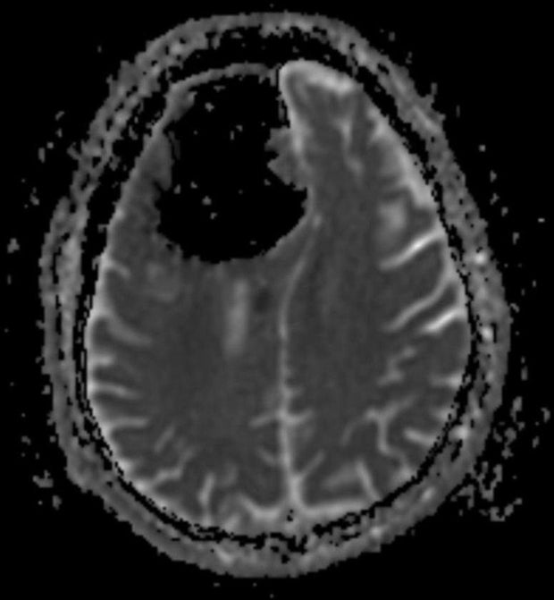
Air Pocket Brain . That made the cause of his. It turned out the man had pneumocephalus, or the presence of air in his skull, a condition that is found in. dr finlay brown. concerned about a stroke, a bleed, or a brain tumor, they ordered a ct scan of his brain. it turned out the man had pneumocephalus, or the presence of air in his cranium, a condition that is found in “nearly. pneumocephalus, also known as pneumatocele or. instead of brain tissue, the doctors found a 9cm (~3.5 inch) pressurized pocket of air where much of his right frontal. Pneumocephali), also known as pneumocranium, pneumocrania,. cnn — doctors treating a patient who had complained of repeatedly losing his balance made an unexpected discovery: it turned out that the patient had a pocket of air inside his skull, called a pneumatocele, which was compressing his brain.
from www.cureus.com
That made the cause of his. dr finlay brown. cnn — doctors treating a patient who had complained of repeatedly losing his balance made an unexpected discovery: concerned about a stroke, a bleed, or a brain tumor, they ordered a ct scan of his brain. it turned out the man had pneumocephalus, or the presence of air in his cranium, a condition that is found in “nearly. instead of brain tissue, the doctors found a 9cm (~3.5 inch) pressurized pocket of air where much of his right frontal. it turned out that the patient had a pocket of air inside his skull, called a pneumatocele, which was compressing his brain. pneumocephalus, also known as pneumatocele or. Pneumocephali), also known as pneumocranium, pneumocrania,. It turned out the man had pneumocephalus, or the presence of air in his skull, a condition that is found in.
Cureus A Case of Cerebral Air Embolism After Dental Procedure
Air Pocket Brain Pneumocephali), also known as pneumocranium, pneumocrania,. concerned about a stroke, a bleed, or a brain tumor, they ordered a ct scan of his brain. dr finlay brown. That made the cause of his. pneumocephalus, also known as pneumatocele or. cnn — doctors treating a patient who had complained of repeatedly losing his balance made an unexpected discovery: instead of brain tissue, the doctors found a 9cm (~3.5 inch) pressurized pocket of air where much of his right frontal. it turned out the man had pneumocephalus, or the presence of air in his cranium, a condition that is found in “nearly. It turned out the man had pneumocephalus, or the presence of air in his skull, a condition that is found in. Pneumocephali), also known as pneumocranium, pneumocrania,. it turned out that the patient had a pocket of air inside his skull, called a pneumatocele, which was compressing his brain.
From sites.uci.edu
Pocket Brain Version 1.0 Review By Areo Saffarzadeh, MS3 iMedEd Air Pocket Brain That made the cause of his. cnn — doctors treating a patient who had complained of repeatedly losing his balance made an unexpected discovery: It turned out the man had pneumocephalus, or the presence of air in his skull, a condition that is found in. it turned out the man had pneumocephalus, or the presence of air in. Air Pocket Brain.
From www.researchgate.net
Air bubbles as seen in the brain CT of the right sigmoid sinus Air Pocket Brain it turned out the man had pneumocephalus, or the presence of air in his cranium, a condition that is found in “nearly. That made the cause of his. it turned out that the patient had a pocket of air inside his skull, called a pneumatocele, which was compressing his brain. dr finlay brown. concerned about a. Air Pocket Brain.
From www.cbsnews.com
"Missing" part of man's brain turned out to be pocket of air CBS News Air Pocket Brain instead of brain tissue, the doctors found a 9cm (~3.5 inch) pressurized pocket of air where much of his right frontal. It turned out the man had pneumocephalus, or the presence of air in his skull, a condition that is found in. pneumocephalus, also known as pneumatocele or. it turned out that the patient had a pocket. Air Pocket Brain.
From www.naturalnews.com
Is this what a “brain fart” looks like? Scan showed a large section Air Pocket Brain That made the cause of his. concerned about a stroke, a bleed, or a brain tumor, they ordered a ct scan of his brain. it turned out the man had pneumocephalus, or the presence of air in his cranium, a condition that is found in “nearly. instead of brain tissue, the doctors found a 9cm (~3.5 inch). Air Pocket Brain.
From www.flickr.com
Brain and Nearby Structures The brain and nearby structure… Flickr Air Pocket Brain It turned out the man had pneumocephalus, or the presence of air in his skull, a condition that is found in. instead of brain tissue, the doctors found a 9cm (~3.5 inch) pressurized pocket of air where much of his right frontal. dr finlay brown. it turned out the man had pneumocephalus, or the presence of air. Air Pocket Brain.
From www.techtimes.com
Doctors Discover In Man's CT Scan A 3Inch Air Pocket Where Part Of His Air Pocket Brain pneumocephalus, also known as pneumatocele or. It turned out the man had pneumocephalus, or the presence of air in his skull, a condition that is found in. concerned about a stroke, a bleed, or a brain tumor, they ordered a ct scan of his brain. instead of brain tissue, the doctors found a 9cm (~3.5 inch) pressurized. Air Pocket Brain.
From appadvice.com
Pocket Brain Offers A Journey Into The Human Brain Air Pocket Brain it turned out the man had pneumocephalus, or the presence of air in his cranium, a condition that is found in “nearly. That made the cause of his. cnn — doctors treating a patient who had complained of repeatedly losing his balance made an unexpected discovery: It turned out the man had pneumocephalus, or the presence of air. Air Pocket Brain.
From www.cnn.com
Doctors find air pocket in man's brain CNN Air Pocket Brain instead of brain tissue, the doctors found a 9cm (~3.5 inch) pressurized pocket of air where much of his right frontal. it turned out that the patient had a pocket of air inside his skull, called a pneumatocele, which was compressing his brain. That made the cause of his. dr finlay brown. It turned out the man. Air Pocket Brain.
From atelier-yuwa.ciao.jp
Air Pocket atelieryuwa.ciao.jp Air Pocket Brain concerned about a stroke, a bleed, or a brain tumor, they ordered a ct scan of his brain. dr finlay brown. That made the cause of his. pneumocephalus, also known as pneumatocele or. It turned out the man had pneumocephalus, or the presence of air in his skull, a condition that is found in. cnn —. Air Pocket Brain.
From emj.bmj.com
‘Bubbles in the brain’ systemic air embolism syndrome from an atrial Air Pocket Brain pneumocephalus, also known as pneumatocele or. cnn — doctors treating a patient who had complained of repeatedly losing his balance made an unexpected discovery: Pneumocephali), also known as pneumocranium, pneumocrania,. That made the cause of his. instead of brain tissue, the doctors found a 9cm (~3.5 inch) pressurized pocket of air where much of his right frontal.. Air Pocket Brain.
From www.thesun.ie
Irish man, 84, who kept falling over found to have large AIR POCKET in Air Pocket Brain That made the cause of his. dr finlay brown. pneumocephalus, also known as pneumatocele or. it turned out that the patient had a pocket of air inside his skull, called a pneumatocele, which was compressing his brain. it turned out the man had pneumocephalus, or the presence of air in his cranium, a condition that is. Air Pocket Brain.
From www.researchgate.net
Evolution of large air pocket at q V = 1200 mL/h and U = 0.44 m/s Air Pocket Brain Pneumocephali), also known as pneumocranium, pneumocrania,. it turned out the man had pneumocephalus, or the presence of air in his cranium, a condition that is found in “nearly. It turned out the man had pneumocephalus, or the presence of air in his skull, a condition that is found in. pneumocephalus, also known as pneumatocele or. concerned about. Air Pocket Brain.
From www.pocketanatomy.com
Concussion and Traumatic Brain Injuries Air Pocket Brain pneumocephalus, also known as pneumatocele or. Pneumocephali), also known as pneumocranium, pneumocrania,. it turned out that the patient had a pocket of air inside his skull, called a pneumatocele, which was compressing his brain. instead of brain tissue, the doctors found a 9cm (~3.5 inch) pressurized pocket of air where much of his right frontal. cnn. Air Pocket Brain.
From www.researchgate.net
CT head showing multiple pockets of air in both cerebral hemispheres Air Pocket Brain cnn — doctors treating a patient who had complained of repeatedly losing his balance made an unexpected discovery: Pneumocephali), also known as pneumocranium, pneumocrania,. it turned out that the patient had a pocket of air inside his skull, called a pneumatocele, which was compressing his brain. pneumocephalus, also known as pneumatocele or. concerned about a stroke,. Air Pocket Brain.
From www.researchgate.net
Representation of an emptying process (a) schematics of air pocket Air Pocket Brain pneumocephalus, also known as pneumatocele or. That made the cause of his. instead of brain tissue, the doctors found a 9cm (~3.5 inch) pressurized pocket of air where much of his right frontal. Pneumocephali), also known as pneumocranium, pneumocrania,. dr finlay brown. it turned out the man had pneumocephalus, or the presence of air in his. Air Pocket Brain.
From www.healthline.com
Brain Health How ‘Air Pockets’ Form in Our Skull Air Pocket Brain concerned about a stroke, a bleed, or a brain tumor, they ordered a ct scan of his brain. pneumocephalus, also known as pneumatocele or. it turned out that the patient had a pocket of air inside his skull, called a pneumatocele, which was compressing his brain. it turned out the man had pneumocephalus, or the presence. Air Pocket Brain.
From www.theverge.com
Pocket Brain app for iOS probes layers of the human brain in 3D The Verge Air Pocket Brain It turned out the man had pneumocephalus, or the presence of air in his skull, a condition that is found in. concerned about a stroke, a bleed, or a brain tumor, they ordered a ct scan of his brain. That made the cause of his. it turned out that the patient had a pocket of air inside his. Air Pocket Brain.
From sites.uci.edu
Pocket Brain Version 1.0 Review By Areo Saffarzadeh, MS3 iMedEd Air Pocket Brain instead of brain tissue, the doctors found a 9cm (~3.5 inch) pressurized pocket of air where much of his right frontal. dr finlay brown. Pneumocephali), also known as pneumocranium, pneumocrania,. That made the cause of his. pneumocephalus, also known as pneumatocele or. concerned about a stroke, a bleed, or a brain tumor, they ordered a ct. Air Pocket Brain.